Chaque personne sera jugée par le produit de son travail.
Orthodontie Corrective :
Correction des problèmes d’occlusion en dentition adulte, c.-à-d. à partir de l’âge où l’enfant a changé toutes ses dents de lait, souvent péri-adolescence.
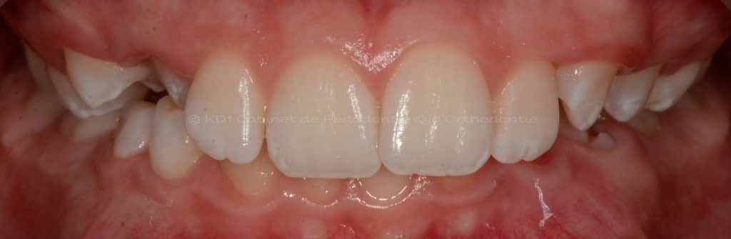
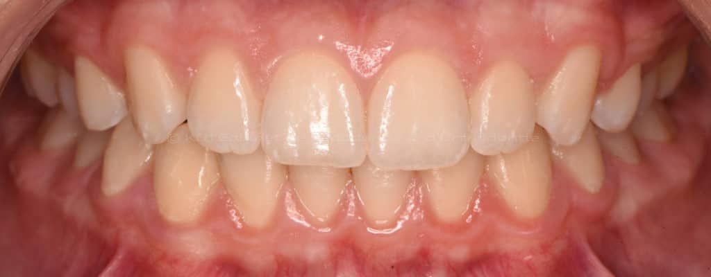
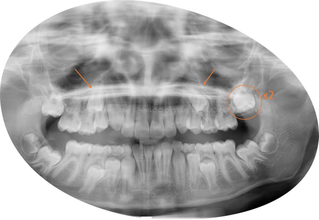
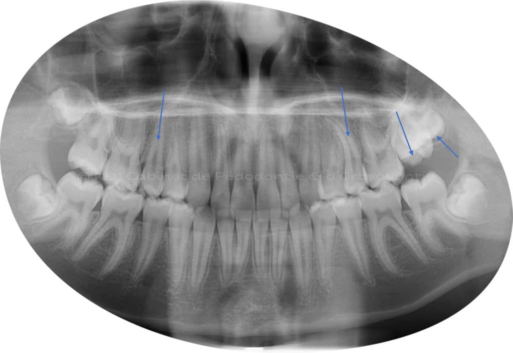
Cas #1 – Traitement avec des bagues, deuxièmes prémolaires et dent de sagesse supérieures ectopiques.




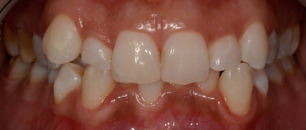
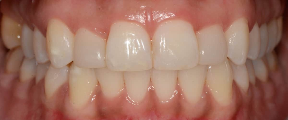
Cas #2 – retraitement avec des gouttières d’alignement






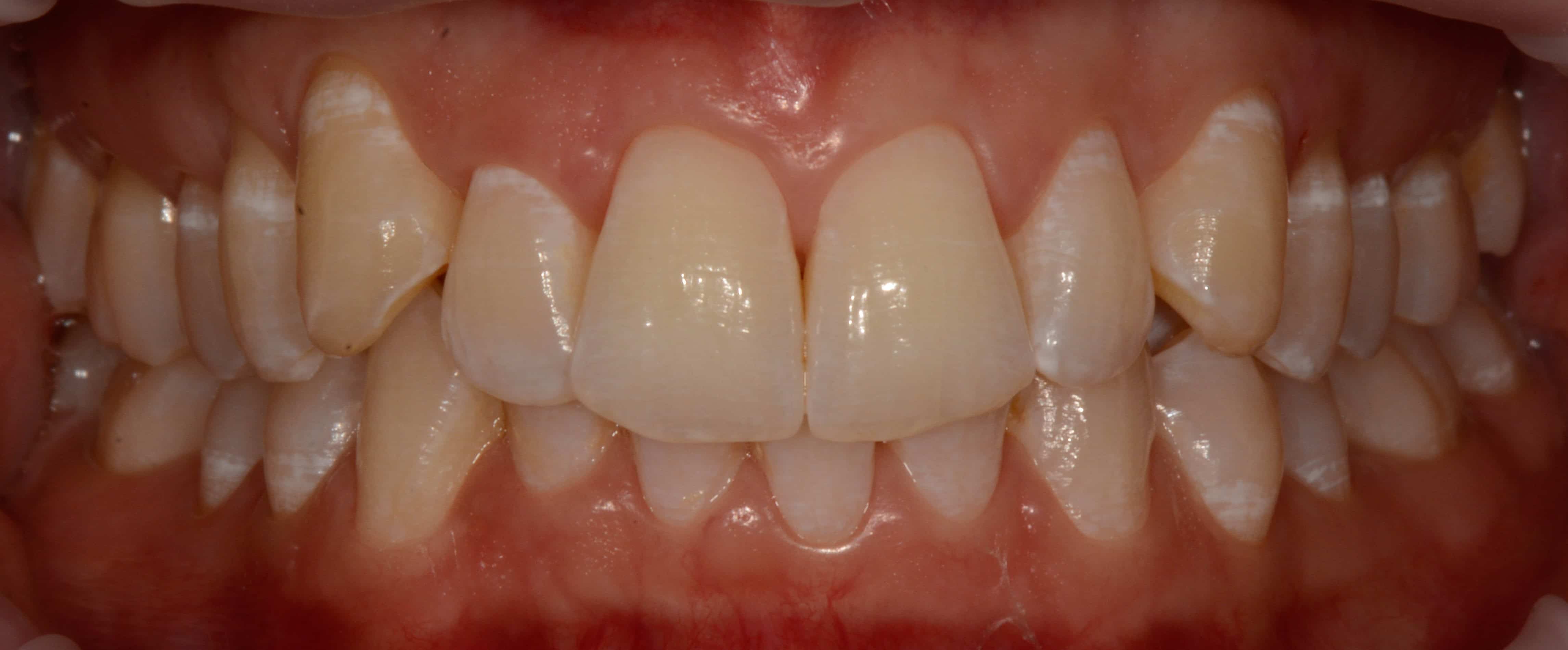
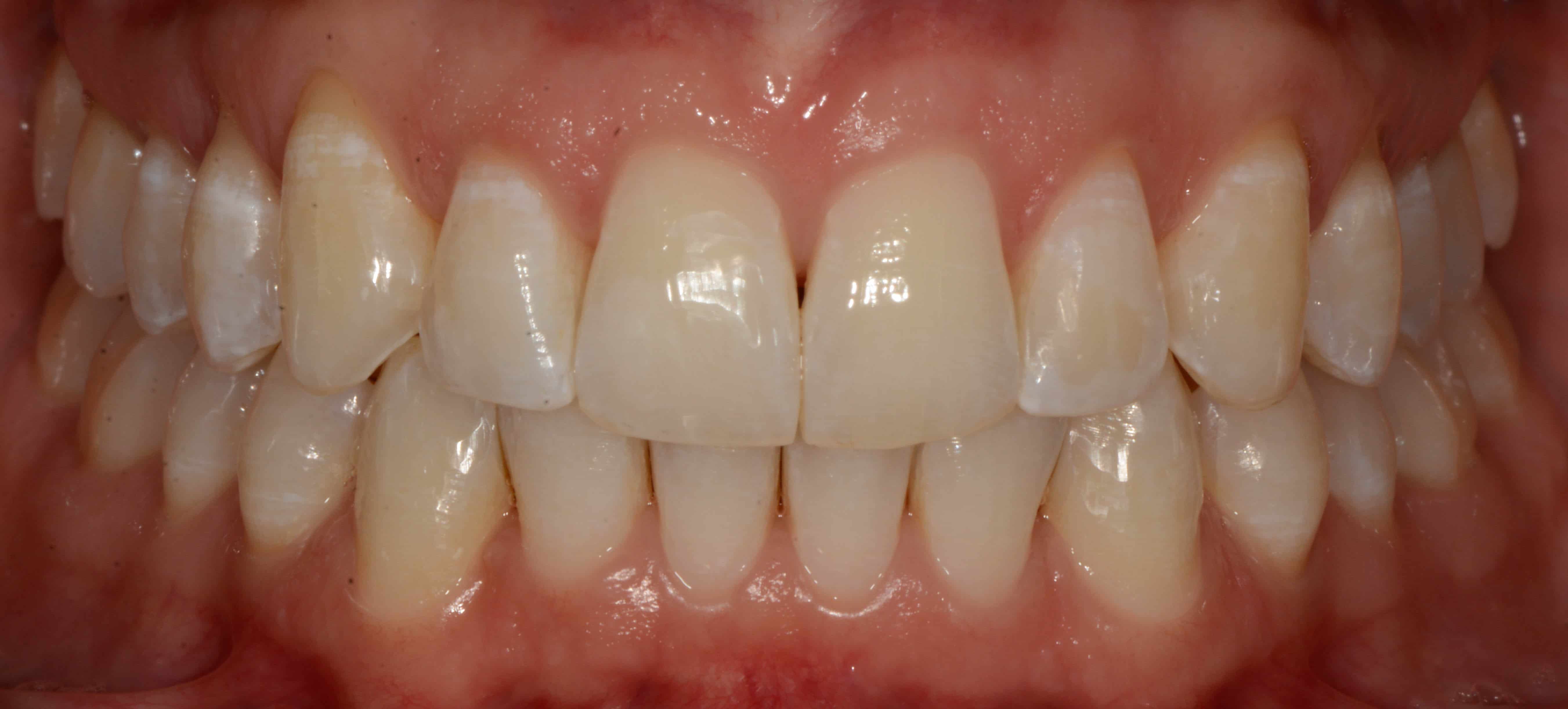
Cas #3 – traitement avec des gouttières d’alignement






Cas #4 – traitement de compromis avec des gouttières d’alignement




Cas #5








Cas #6


Cas #7


Cas #9


Cas #8


Cas #10


Orthodontie interceptive :
Correction des problèmes d’occlusion en dentition mixte, c.-à-d. à l’âge où l’enfant a des dents de lait et adulte, souvent entre l’âge de 7 ans et 9.5 ans. Le but de ces interventions n’est pas d’aligner les dents, car la dentition est en train de changer.
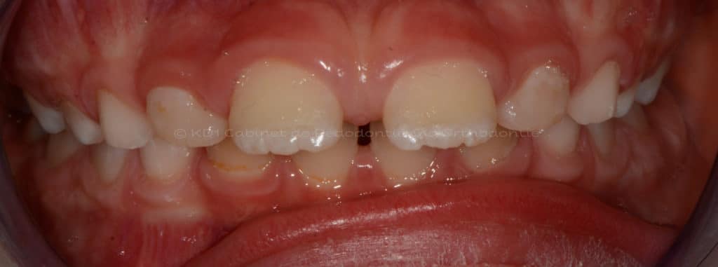
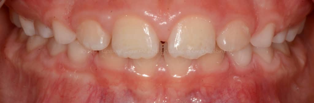
Cas #1 – Traitement avec un casque de traction maxillaire en dentition mixte (âge 8.5). Le but est de redresser les dents de devant (très penchées en avant) afin d’éviter les cassures de ces dents. Le recul de la dentition supérieure est possible avec ce dispositif extraoral.




Cas #2 – Traitement avec un masque de protraction maxillaire en dentition mixte (âge 8.8). Les buts sont de corriger l’articulée croisée, améliorer la position et augmenter la largeur de la mâchoire supérieure.




Cas #3 – Traitement avec un casque de traction maxillaire en dentition mixte (âge 9.5). Le but est de redresser les dents de devant (très penchées en avant) afin d’éviter les cassures de ces dents. Le recul de la dentition supérieure est possible avec ce dispositif extraoral. Un effet favorable indirect sur la mâchoire inférieure est à visible.












