Pédodontie – Médecine-dentaire pédiatrique : Cas cliniques
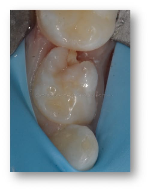
Caries dentaires affectant deux molaires de lait. Un champ d’isolation empêche la contamination des surfaces dentaires traitées, évite les accidents dentaires et réduit le contact de matériels avec la bouche de l’enfant.


Caries dentaires affectant deux molaires de lait


Traumatisme dentaire sur une dent adulte


Caries dentaires affectant deux molaires de lait. Elles peuvent être cachées entre les dents, non détectables lors de l’examen de dépistage. Une petite radiographie intra-orale révélera l’existence de ces caries et évitera leurs progression souvent assez rapide.


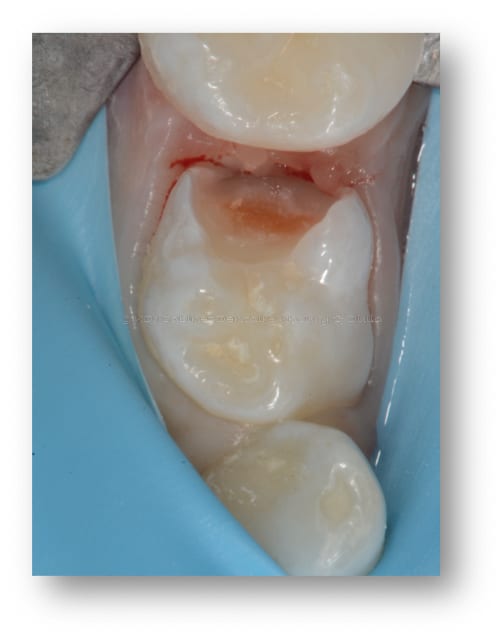
Les différentes étapes pour soigner une carie sur une molaire de lait sont illustrées, depuis l’ouverture de la cavité carieuse, le nettoyage du tissu malade et la restauration de la dent avec du composite.




Caries dentaires affectant deux molaires de lait

